Horizon® DXA System

A DXA system that does more

The Horizon DXA system is the latest in densitometry technology, but the dual energy X-ray does more than just measure bone density. The Horizon DXA system has features for a complete fracture risk assessment and more.

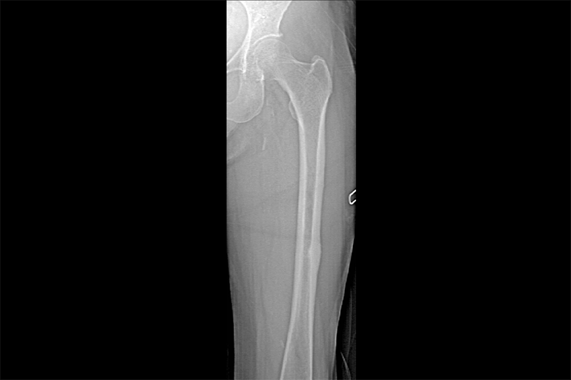
Single Energy Femur Exam

Manage patients1 concerns about long-term bisphosphonate use with the 15-second single energy femur scan that allows visualization of potential incomplete atypical femur fractures.

Vertebral Fracture Assessment

The HD Instant Vertebral Fracture™ assessment dramatically improves the detection of vertebral fractures by doubling the resolution of previously available techniques with a low dose, single energy image.1

Abdominal Aortic Calcification

The HD Instant Vertebral Fracture assessment also allows you to visualize calcified plaque in the abdominal aorta, which may be a significant indicator of heart disease and stroke.2-4 Exclusive to Hologic, this feature provides vital information that may link coronary heart disease, the leading cause of death for women.

Advanced Body Composition® Assessment

With InnerCore™ Visceral Fat Assessment, the Advanced Body Composition assessment is a more comprehensive way to measure body composition compared to other methods on the market. It provides you % body fat, total lean mass, bone density, limb comparison for muscle imbalance detection, visceral fat and more. We call it the BodyLogic™ scan.

Ultra Fast. Low Noise

High-resolution ceramic digital detectors array featuring ultra fast, high output, low noise ceramic detectors that provide better bone mapping and images.

Smaller and Lighter

High frequency, dual energy X-ray source that is smaller and lighter than previous generations.

Dynamic Calibration

Dynamic Calibration™ system, delivering real time pixel-by-pixel calibration through bone and tissue equivalents for greater long-term measurement stability.

Eliminate Distortion

OnePass™ single sweep scanning designed to eliminate beam overlap errors and image distortion.

Endocrine Therapy and Bone Density

Aromatase inhibitors, a type of endocrine therapy, used to treat postmenopausal patients with HR+, early-stage breast cancer may impact bone density.7 The Breast Cancer Index® test helps determine if a patient is likely to benefit from extending endocrine therapy beyond 5 years. If not, she may be able to avoid additional exposure to bone toxicity.

Find Support

All Other Requests

Reimbursement Support

References

1. F. Cosman, J. et al. Spine fracture prevalence in a nationally representative sample of US women and men aged 40 years: results from the National Health and Nutrition Examination Survey (NHANES) 2013 2014. Published online: 07 February 2017 International Osteoporosis Foundation and National Osteoporosis Foundation 2017 2. Wilson PWF, Kauppila LI, O’Donnell CJ, et al. Abdominal aortic calcific deposits are an important predictor of vascular morbidity and mortality. Circulation. 2001;103(11):1529 34. 3. Hollander M, Hak AE, Koudstaal PJ, et al. Comparison between measures of atherosclerosis and risk of stroke: the Rotterdam Study. Stroke. 2003;34(10):2367 2372. 4. van der Meer IM, Bots ML, Hofman A, del Sol AI, van der Kuip DAM, Witteman JCM. Predictive value of noninvasive measures of atherosclerosis for incident myocardial infarction: the Rotterdam Study. Circulation. 2004;109(9):1089-1094. 5. Jankowski, L et al. Quantifying Image Quality of DXA Scanners Performing Vertebral Fracture Assessment Using Radiographic Phantoms. 2006. 6. Hangartner, TN. A study of long-term precision of dual energy X-ray absorptiometry bone densitometers and implications for the validity of the least significant-change calculation. Osteoporosis Int. 2007;18:513-523. DOI 10.107/s00198 006 0280 7. Amir E, Seruga B, Niraula S, Carlsson L, Ocaña A. Toxicity of adjuvant endocrine therapy in postmenopausal breast cancer patients: a systematic review and meta-analysis. J Natl Cancer Inst. 103(17):1299-309, 2011.

Related Products

Clinical Images

Single Energy Femur Scan — AFF assessment

Single Energy Femur Scan — AFF assessment

HD Instant Vertebral Assessment™

Advanced Body Composition® Assessment Report

All Other Requests